
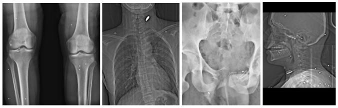
گزارش پیشرو حاصل تحقیقات مشترک فکتنامه و روزنامه گاردین است که به بررسی ۷۸ تصویر اختصاصی رادیولوژی از مجروحان ۱۸ و ۱۹ دی ۱۴۰۴ یک بیمارستان در یکی از شهرهای بزرگ ایران میپردازد. مقاله گاردین را میتوانید اینجا بخوانید.
در میانه دی ۱۴۰۴، ایران شاهد خونینترین سرکوب خیابانی معاصر خود بود. اعتراضاتی که در ابتدا در واکنش به مجموعهای از بحرانهای اقتصادی، اجتماعی و سیاسی شکل گرفت، طی دو روز ۱۸ و ۱۹ دیماه به مواجههای مستقیم میان معترضان و نیروهای امنیتی انجامید؛ مواجههای که در آن استفاده گسترده نیروهای امنیتی از انواع سلاح گرم مانند شاتگان و تفنگهای خودکار بهطور بیسابقهای گزارش شد. خیابانها در بسیاری از شهرها به صحنه تیراندازی بدل شدند و بیمارستانها در فاصلهای کوتاه با موجی از مجروحان با جراحات شدید ناشی از اصابت گلوله و شاتگان روبهرو شدند.
در حالی که مقامهای رسمی روایتهای متناقضی از آنچه رخ داد ارائه دادند و دسترسی رسانهها و نهادهای مستقل بهشدت محدود شد، یک واقعیت غیرقابل انکار باقی ماند: بدنهای زخمی و کشتهشده معترضان. این گزارش به یکی از معدود مسیرهای باقیمانده برای بازسازی آنچه در آن دو روز رخ داد متکی است؛ آثار فیزیکی خشونت ثبتشده در تصاویر پزشکی.
در این گزارش، فکتنامه و گاردین ۷۸ تصویر پزشکی را که از یک بیمارستان در یکی از شهرهای بزرگ ایران به طور مستقل تایید و بررسی کردهاند. تصاویر، مربوط به ۶۴ فرد آسیبدیده است. این تصاویر شامل ۲۹ عکس از نوع X-Ray و ۴۷ مورد تصویر CT و دو مورد CTA (مربوط به یک مجروح) است که همراه با اطلاعاتی مثل زمان دقیق تصویربرداری، ناحیه یا نواحی تحت بررسی، نام، جنسیت و در برخی موارد وضعیت سنی بیمار در اختیار فکتنامه قرار گرفته است. این تصاویر همچنین حاوی دادههایی درباره مراکز درمانی و مشخصات بیماران بودهاند که بهصورت کامل نزد تیم تحقیق محفوظ ماندهاند.
به دلیل حفظ امنیت مجروحان، منابع و کادر درمان، هویت بیماران، نام مراکز درمانی و محل جغرافیایی آنها در این گزارش افشا نمیشود. در شرایطی که ارائه خدمات درمانی به مجروحان اعتراضات و انتقال تصاویر پزشکی میتواند پیامدهای امنیتی جدی برای بیماران و کارکنان درمانی در پی داشته باشد، این محدودیت، بخشی جداییناپذیر از اصول اخلاقی و حرفهای این تحقیق است.
راستیآزمایی اولیه تصاویر، بدون افشای هویت منابع انجام شده است. علاوه بر اطمینان پیدا کردن از منابع، وجود جزئیات فنی مانند نام بیمار، تاریخ و ساعت دقیق تصویربرداری، نام مرکز تصویربرداری و هماهنگی این دادهها با محتوای بصری تصاویر، از جمله نشانههای اصالت این اسناد بوده است. در تصاویر دریافتی، نشانهای از دستکاری دیجیتال، کپیکاری، ناسازگاری آناتومیک، کنتراست غیرطبیعی، بریدگیهای مشکوک یا تکرار الگوهای مصنوعی پیدا نشد و مجموعهای از شاخصها، حاکی از واقعیبودن تصاویر و تهیه آنها در مراکز درمانی است. تصاویر، در اختیار تعدادی از پزشکان متخصص اورژانس و همچنین کارشناس گلولهشناسی قرار دادهشد. الگوی تغییر شکل پرتابه و محل ورود و جایگیری آن، تایید میکند که این تصاویر به بدنهای واقعی آسیبدیده بر اثر شلیک گلوله یا ساچمه تعلق دارند.
در این بررسی، تنها تصاویری تحلیل شده که از نظر کیفیت فنی، اطلاعات زمانی و وضوح آناتومیک امکان تفسیر حداقلی و قابل دفاع را فراهم میکردند. تصاویری که فاقد شواهد رادیولوژیک از اصابت پرتابه بودند یا امکان تمایز میان آسیب ناشی از سلاح گرم و سایر علل پزشکی در آنها وجود نداشت، از تحلیل آماری کنار گذاشته شدهاند.
تفسیر رادیولوژیک ذاتا با محدودیتهایی همراه است. تصاویر پزشکی میتوانند مسیر پرتابه، محل توقف یا خروج آن و نوع کلی آسیب را نشان دهند، اما همواره امکان تعیین دقیق فاصله شلیک، نوع سلاح یا نیت تیرانداز وجود ندارد. به همین دلیل، یافتههای این گزارش بهصورت نظاممند به سه دسته تفکیک شدهاند: یافتههای قطعی، یافتههای محتمل، و مواردی که بر اساس دادههای موجود امکان نتیجهگیری قابل اتکا درباره آنها وجود نداشته است.
دادههای این تحقیق شامل ۷۸ تصویر پزشکی از نوع اشعه ایکس، سیتیاسکن و سیتیآنژیوگرافی است که به ۶۴ بیمار مجزا تعلق دارد. برخی از این موارد بیش از یک تصویر دارند که در مواردی در زمانهای متفاوت و در جریان روند تشخیصی یا درمانی ثبت شدهاند. از کل ۶۴ مورد موجود، ۵۹ مورد بهدلیل وجود شواهد رادیولوژیک روشن از اصابت گلوله یا ساچمه وارد تحلیل نهایی شدهاند. پنج مورد دیگر، پس از بازبینی دقیق، بهدلیل فقدان هرگونه نشانه قابل اتکا از برخورد پرتابه یا آسیب ناشی از سلاح گرم، بهصورت نظاممند از تحلیل آماری کنار گذاشته شدهاند.

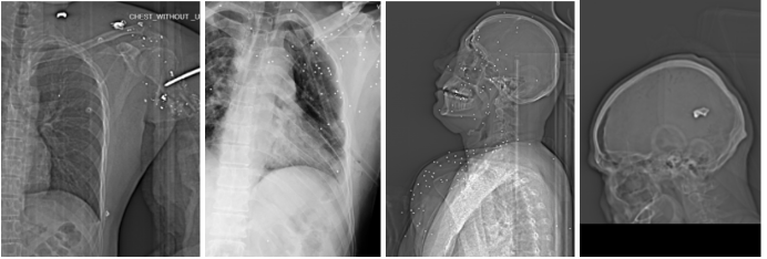
چهار الگوی تیپیک در تصاویر پزشکی: ساچمههای شاتگان در سر و اندام، آسیب پرانرژی در لگن، و گلوله در گردن با جابجایی نای و خطر آسیب عروق بزرگ.
از مجموع ۶۴ مورد موجود در این مجموعه، هویت ۶۳ نفر بر اساس اطلاعات همراه تصاویر پزشکی تایید شده است. تنها یک مورد با هویت نامشخص طبقهبندی شدهاست. از نظر تفکیک جنسیتی از بین ۵۹ مورد دارای شواهد روشن از آسیب ناشی از سلاح گرم، ۴۸ نفر مرد و ۱۱ نفر زن هستند.
از میان ۵۹ مورد، سن ۴۰ مورد ثبت شده و ۱۹ مورد فاقد اطلاعات سنی بودهاند. نبود داده سنی در این ۱۹ مورد بهاحتمال زیاد، تصادفی نیست و با الگوی جراحات شدید مطابقت دارد. اکثر این ۱۹ مورد دچار اصابت به سر، صورت، چشم، گردن یا ناحیه قفسه سینه بودهاند اما نمیتوان ثبت نشدن سن را به وضعیت بالینی خاص (کاهش سطح هوشیاری) نسبت داد و همچنین این به این معنی نیست که افرادی که سنشان ثبت شده لزوما هوشیار بودهاند.
دامنه سنی این ۴۰ مورد از ۱۵ تا ۶۰ سال را در بر میگیرد. جوانترین مرد ثبتشده یک کودک ۱۵ ساله و مسنترین افراد دو مرد ۶۰ ساله هستند. جوانترین زنان نیز دو مورد ۲۴ ساله و مسنترین زن ۴۶ ساله بوده است.
بررسی فراوانی سنی نشان میدهد که بیشترین تمرکز مجروحان در بازههای سنی ۱۵ تا ۲۵ سال و ۲۶ تا ۳۵ سال بوده است که هر یک ۱۱ نفر را شامل میشوند. پس از آن، بازه ۳۶ تا ۴۵ سال با ۱۰ نفر قرار دارد. در گروه ۴۶ تا ۵۵ سال، ۶ نفر و در گروه ۵۶ سال و بالاتر، ۲ نفر ثبت شدهاند. این توزیع سنی نشان میدهد که اکثریت مجروحان در این مجموعه در سنین جوانی و میانسالی اولیه قرار داشتهاند.
بررسی زمان ثبت تصاویر پزشکی نشان میدهد که تصویربرداری از مجروحان در یک بازه زمانی فشرده و عمدتا در فاصله کوتاهی پس از وقوع تیراندازیها انجام شده است. بخش قابل توجهی از تصاویر در ساعات بامدادی ۱۹ دی ۱۴۰۴ ثبت شدهاند. این تصاویر به مجروحانی تعلق دارند که در جریان تیراندازیهای ۱۸ دی هدف قرار گرفتهاند و در ساعات بعدی برای ارزیابی و درمان به مراکز درمانی منتقل شدهاند (۳۲ مورد). در مقابل، تصاویری که از ساعات پایانی شب ۱۹ دی (حدود ساعت ۲۰ به بعد) و همچنین روز ۲۰ دی ثبت شدهاند، احتمالا به تیراندازیهای رخداده در ۱۹ دی مربوط میشوند (۲۷ مورد).
نمودارهای زیر توزیع آناتومیک نواحی آسیبدیده را بر اساس تحلیل تصاویر پزشکی در ۵۹ مورد معتبر نشان میدهند. از آنجا که برخی مجروحان دچار اصابت به بیش از یک ناحیه بدن بودهاند، واحد شمارش در این نمودارها «رخداد ناحیهای» است و نه تعداد افراد؛ به همین دلیل، مجموع نواحی آسیبدیده (۶۹ رخداد) بیش از تعداد موردها (کمتر از تعداد تصاویر) است. نمودار نخست توزیع کلی نواحی درگیر را نشان میدهد، در حالی که دو نمودار بعدی همین توزیع را به تفکیک جنسیت (مردان و زنان) ارائه میکنند. این نمایش بصری امکان مقایسه الگوی هدفگیری در بخشهای مختلف بدن و تفاوتهای احتمالی میان دو گروه را فراهم میکند.
ارزیابی پزشکان از تصاویر نشان میدهد که در این مجموعه، شماری از مجروحان با الگوهایی از «آسیب تهدیدکننده حیات» روبهرو بودهاند: از جراحات نافذ قفسه سینه با شواهد پنوموتوراکس و هموتوراکس، تا آسیبهای سر و صورت با نشانههای درگیری احتمالی مغز و خطر مرگ یا ناتوانی شدید پایدار. در چند پرونده، توصیفهای پزشکی صراحتا به خطر بسیار بالای مرگ، نیاز به درمان فوری و گسترده، یا احتمال پیامدهای ویرانگر مانند سکته یا نقص عصبی پایدار اشاره میکند.

سه مورد پراکندگی متعدد ساچمه شاتگان در صورت، اوربیت و قفسه سینه با خطر نابینایی در کنار یک مورد اصابت پرتابه پرسرعت با نفوذ در جمجمه و آسیب مغزی عمقی
در چندین مورد، پزشکان ارزیاب تاکید کردهاند که بدون دسترسی به معاینه مستقیم بیمار، پرونده کامل پزشکی، پیگیری بالینی طولی و تصویربرداریهای تکمیلی در صورت نیاز، امکان ارائه نتیجهگیری قطعی تشخیصی یا پیشآگهی درباره پیامد نهایی بیمار وجود ندارد. بر همین اساس، طبقهبندیهای بهکاررفته در این گزارش بازتابدهنده سطح خطری است که در ارزیابیهای رادیولوژیک توصیف شده و ناظر بر شدت بالقوه آسیبهاست، نه پیامدهای بالینی قطعی.
با این حال، پزشکانی که این تصاویر را دیدهاند در ارزیابیهای متعدد از اصطلاحات بالینی صریح برای توصیف سطح خطر استفاده کردهاند، از جمله «خطر بسیار بالای مرگ»، «خونریزی تهدیدکننده حیات»، «آسیب فاجعهبار»، «احتمال آسیب عروقی عمده»، و «خطر سکته ویرانگر»، همچنین یافتههایی مانند هموپنوموتوراکس شدید یا نیاز به درمان فوری و تهاجمی. در یک مورد، وجود پانسمان هموستاتیک از نوع Quick Clot بهطور مشخص بهعنوان یافتهای سازگار با خونریزی بسیار شدید و خطر مرگ ظرف چند دقیقه در صورت کنترلنشدن سریع ذکر شده است.
وجود لوله قفسه سینه در چند تصویر، بهعنوان نشانه مداخله اورژانسی برای پنوموتوراکس یا خون و هوا در فضای جنب، بهطور مستقیم شدت آسیب قفسه سینه و خطر آن را برجسته میکند. در بعضی موردها، لولهگذاری تنفسی و نیز گاز زیاد در معده بهعنوان قرینهای محتمل از احیای تنفسی یا اقدامات حمایتی پیشرفته ذکر شده است. همچنین گاز زیر پوست یا گاز در بافت نرم در چند آسیب نافذ، بهعنوان نشانه جراحت باز یا نافذ و همخوان با تروماهای ناشی از گلوله یا نفوذی توضیح داده شده است. این شاخصها، بهویژه وقتی کنار هم مینشینند، تصویر روشنتری از شدت تروما و سطح بحران پزشکی ارائه میدهند.
در کنار اینها، مواردی هم وجود دارد که پزشک به دلیل محدودیت ذاتی تصویر و نبود اطلاعات بالینی مکمل، سطح خطر را «نامشخص» یا وابسته به متغیرهایی مانند محل دقیق ورود، مسیر پرتابه و مداخله درمانی دانسته است. همچنین در ۱۰ مورد، مجروحان دچار اصابت به بیش از یک ناحیه آناتومیک مجزا شدهاند، بهگونهای که تصاویر نشاندهنده شلیکهای متعدد به بخشهای مختلف بدن یک فرد است.

تصویر نقشه حرارتی تولیدشده با هوش مصنوعی از پراکندگی محل اصابت گلوله یا آسیبدیدگی از ۷۸ تصویر رادیولوژی
۱) جراحت در سر، صورت، چشم و گردن
در توصیفهای پزشکان، بیشترین بار «خطر نابینایی» و «خطر آسیب مغزی» در آسیبهای سر، صورت و ناحیه اوربیت دیده میشود. در چند مورد، پزشک بهطور مشخص از وجود ساچمهها در صورت و اطراف کاسه چشم، احتمال ورود از مسیر صورت، آسیب مستقیم کره چشم یا اوربیت و «احتمال بالای نابینایی دائمی» سخن میگوید.

الگوی ساچمهای با درگیری چشم و جمجمه و ریسک بالای مرگ
در برخی پروندهها، علاوه بر خطر بینایی، به احتمال حضور ساچمهها در مغز یا نزدیک ساختارهای حیاتی جمجمه اشاره شده که ماهیتا میتواند تهدیدکننده حیات باشد یا در صورت بقا به ناتوانی پایدار ذهنی و جسمی بینجامد. در چند تصویر، نشانههایی مانند گاز قابل توجه زیر جمجمه یا فشار بر مغز، بهعنوان یافته بحرانی و پرخطر توصیف شده است.
در یک مورد، پزشک به جابجایی نای و افزایش دانسیته و پهنشدگی نامتقارن بافت گردن اشاره کرده و آن را با خونریزی و تورم سازگار دانسته است. در همان چارچوب، احتمال آسیب به عروق بزرگ گردن و پیامدهایی مانند مرگ یا سکته ویرانگر مطرح شده است. همچنین در مواردی که شکستگیهای نزدیک شانه یا گردن همراه با قطعات فلزی دیده میشود، پزشک بهصورت احتیاطآمیز از خطر آسیب عروق و اعصاب گردن و «ریسک سکته» سخن میگوید.
در چند پرونده قفسه سینه، ترکیبی از یافتهها تکرار میشود: زخم باز یا نافذ، گاز زیر پوست، آسیب ریه، و لوله قفسه سینه. پزشکان توضیح دادهاند که پنوموتوراکس میتواند با پر شدن فضای اطراف ریه از هوا، ریه و حتی قلب را تحت فشار قرار دهد و بدون درمان، کشنده باشد.

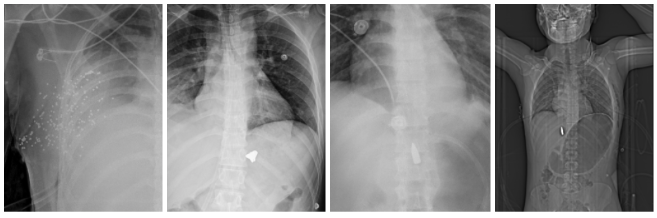
مقایسه الگوهای آسیب تهدیدکننده حیات در قفسه سینه شامل گلوله ۳۹×۷٫۶۲ با پنوموتوراکس و لوله قفسه سینه، اسلاگ ۱۲ گیج با تخریب متمرکز، و شاتگان نزدیکبرد با هموپنوموتوراکس شدید.
در برخی موردها، همزمان از خونریزی در فضای اطراف ریه یا هموتوراکس نیز یاد شده که آن هم میتواند پرریسک باشد. در یک مورد، امکان عبور پرتابه از یک سمت قفسه سینه به سمت دیگر و در نتیجه احتمال آسیب به اندامهای دیگر نیز بهصورت شرطی مطرح شده است؛ یعنی وابسته به اینکه محل زخم ورودی کجا بوده است.
در ناحیه شکم، لگن و پیرامون آنوژنیتال، پزشکان علاوه بر شکستگیهای لگنی و وجود گاز و قطعات فلزی در بافت نرم، درباره طیفی از پیامدهای ممکن صحبت کردهاند: از آسیبهای جدی به مثانه، روده، پرینه و اندامهای تناسلی، تا احتمال بیاختیاری، ناباروری و اختلال عملکرد جنسی بهعنوان پیامدهای درازمدت.

چهار نمونه از آسیبهای لگن، ران و مفصل ران که در سه تصویر با پراکندگی متعدد ساچمههای شاتگان در بافت نرم اطراف لگن و ران همراه است و در یک تصویر، تخریب شدید و شکستگی چندتکه استخوان ران با قطعات فلزی پرانرژی دیده میشود
در مواردی که شکستگیهای شدید استخوان ران یا لگن با الگوی نافذ و قطعات فلزی همراه است، خطر آسیب به عروق بزرگ و خونریزی تهدیدکننده حیات نیز بهعنوان احتمال پزشکی مطرح شده است.
در دست و پا، توصیف پزشکان بارها بر «شکستگیهای چندتکه» و گاز در بافت نرم بهعنوان الگوی سازگار با آسیب نافذ ناشی از شلیک گلوله تاکید میکند. در اندام فوقانی، چند پرونده شامل خردشدگی شدید استخوان بازو یا اختلال مفصل آرنج است که میتواند با خطر آسیب عصب و عروق همراه باشد و به ناتوانی پایدار مانند ضعف، بیحسی یا فلج دست منجر شود.

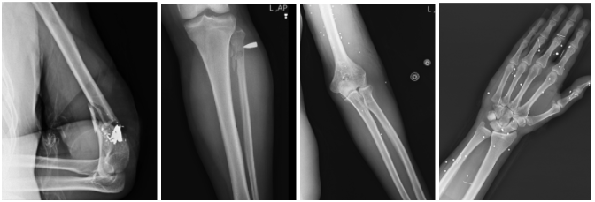
شکستگی خردشونده اطراف مفصل آرنج با حضور قطعات فلزی، شکستگیهای دیافیز استخوانهای ساعد با الگوی سازگار با نفوذ پرتابه، و پراکندگی متعدد ساچمهها در دست و مچ
در اندام تحتانی نیز از پراکندگی ساچمهها پیرامون زانو، شکستگیهای پرقطعه ساق یا ران و خطر آسیب عصب و عروق ساق و ران صحبت شده است. یک مورد قطع عضو در ساق پا نیز در دادهها وجود دارد که پزشک آن را لزوما ناشی از شلیک گلوله ندانسته و گزینههایی مانند جراحت با سلاح سرد، حادثه صنعتی، یا اقدام جراحی در شرایط میدانی را مطرح کرده است.
تصاویر رادیولوژی نشان میدهد که در این مجموعه، دو الگوی غالب شلیک قابل تفکیک است: آسیبهای ناشی از ساچمههای شاتگان و آسیبهای ناشی از گلولههای پرسرعت کالیبر ۷٫۶۲. تشخیص این موارد بر اساس اندازه، شکل، تعداد، نحوه پراکندگی، تغییر شکل فلزی و مسیر احتمالی حرکت پرتابه در بدن، از تصاویر واضح است.
در موارد مربوط به ساچمههای شاتگان، تصاویر معمولا چندین جسم فلزی کوچک با چگالی بالا را نشان میدهند که به صورت پراکنده یا خوشهای در بافت نرم، اطراف مفاصل یا در ناحیه صورت و سر قرار گرفتهاند. در برخی تصاویر، الگوی پراکندگی ساچمهها با یک «مخروط پراکندگی» سازگار است که میتواند با فاصله متوسط یا نزدیک شلیک همخوانی داشته باشد. در تصاویر این مجموعه، دامنهای از الگوهای پراکندگی دیده میشود؛ از خوشههای فشرده که با فاصلههای کوتاه سازگارند، تا پراکندگیهای وسیعتر که میتواند نشاندهنده فاصلههای متوسط یا بیشتر باشد. در برخی موارد، تمرکز ساچمهها بر یک ناحیه حیاتی خاص، مانند سر یا صورت دیده میشود. چنین تراکمی معمولا با انتقال انرژی بالا به بدن همراه است و میتواند منجر به خردشدگی استخوان، پارگی گسترده بافت نرم و در مواردی آسیبهای تهدیدکننده حیات شود. شدت این الگوها، بهویژه در نواحی سر، گردن و قفسه سینه، نشاندهنده اعمال نیروی قابل توجه است؛ هرچند شدت آسیب همواره تابع ترکیبی از فاصله، نوع مهمات، زاویه برخورد و وضعیت بدن فرد بوده است.
در تعداد محدودی از موردها، شواهد تصویری سازگار با حضور Wad یا اجزای مرتبط با فشنگ شاتگان در بدن مشاهده شده است. Wad قطعهای پلاستیکی یا مقوایی است که در گلوله شاتگان، در جلوی ساچمهها قرار میگیرد و پوشش آنها در غلاف فشنگ است. حضور Wad در این تصاویر نشاندهنده شلیک از فاصله بسیار نزدیک است، زیرا این جزء فشنگ شاتگان، در فاصلههای دورتر پیش از رسیدن به بدن از ستون شلیک جدا میشود.
در آسیبهای منتسب به گلولههای پرسرعت ۷٫۶۲ میلیمتری تصاویر وجود یک جسم فلزی بزرگتر، اغلب تغییر شکل یافته، را نشان میدهند که در برخی موارد با شکستگیهای چندتکه استخوان و تخریب گسترده بافت نرم همراه است. در چند پرونده، مسیر تقریبی حرکت گلوله از روی شکستگیهای استخوانی، پراکندگی قطعات فلزی و جهت آسیب قابل بازسازی نسبی بوده است. تغییر شکل پرتابه پس از برخورد با استخوان و توقف آن در بافت، در برخی موارد بهعنوان یافته سازگار با گلولههای تمامفلزی (FMJ) پرسرعت توصیف شده است.

پوکههای شلیکشده گِیج ۱۲ و ۳۹×۷.۶۲میلیمتری که تظاهرکنندگان در منطقه نازیآباد و خیابان وحدت اسلامی شهر تهران به دست آوردهاند.
A) شلیک ساچمهای (Birdshot)؛ ۴۵ مورد
بیشترین سهم موارد، به مهمات ساچمهای شاتگان، بهویژه بردشات گیج ۱۲، تعلق دارد که در ۴۵ مورد شناسایی شده است. این موارد در تصاویر X-ray و CT عمدتا با حضور چندین جسم فلزی کوچک و پرچگال، با اندازه و شکل نسبتا یکنواخت، در یک یا چند ناحیه بدن مشخص میشوند.
ویژگیهای تکرارشونده در ارزیابی پزشک:
در توصیفهای پزشکان، الگوی تکرارشونده شامل پراکندگی متعدد ساچمه در سر و صورت، اطراف اوربیت، گردن و اندامهاست. موارد متعددی از آسیب چشمی با خطر نابینایی دائمی ذکر شده و در برخی پروندهها، ساچمهها در سینوسها، قاعده جمجمه یا مجاورت ستون فقرات گردنی مشاهده شدهاند. در چند مورد، علاوه بر آسیب نرمبافتی گسترده، احتمال درگیری عروق بزرگ یا خطر خونریزی شدید مطرح شده است. در آسیبهای سر و گردن، برخی ارزیابیها بهصراحت به ریسک بالای مرگ یا پیامدهای عصبی پایدار اشاره کردهاند؛ بهویژه زمانی که تراکم ساچمهها در یک ناحیه محدود و حیاتی بالا بوده است.
در مواردی که با شلیک نزدیک یا نیمهنزدیک سازگار است، تصاویر نشاندهنده تجمع متراکم ساچمهها در یک میدان محدود آناتومیک است؛ الگویی که با انتقال انرژی بالا به بافت و تخریب شدید نرمبافت یا حتی خردشدگی استخوان همراه بوده است. در مقابل، در برخی آسیبهای اندام تحتانی، ساچمههای متعدد در اطراف زانو یا ران بدون شکستگی واضح استخوان مشاهده شدهاند، اما همچنان با خطر آسیب عروق و اعصاب و پیامدهای عملکردی بلندمدت همراه بودهاند.
در مجموع، ارزیابیهای پزشکی نشان میدهد که هرچند ساچمههای بردشات از نظر تئوریک در برخی زمینهها «کمکشندهتر» تلقی میشوند، اما در این مجموعه، در موارد متعدد با الگوهای آسیب شدید، تهدیدکننده حیات یا با خطر ناتوانی پایدار همراه بودهاند.
در یک مورد، یافتههای تصویری با الگوی سازگار با استفاده از مهمات اسلاگ گِیج ۱۲ توصیف شدهاست؛ مهماتی که برخلاف بردشات، بهصورت یک پرتابه واحد و با جرم و انرژی بالا شلیک میشوند. در این مورد، تصویر رادیولوژیک وجود یک جسم فلزی منفرد و بزرگتر را نشان میدهد که با مسیر نفوذ متمرکز و تخریب قابلتوجه در بافت و ساختارهای استخوانی همراه بوده است. الگوی شکستگیهای شدید و چندتکه استخوان در مجاورت مسیر پرتابه، با انتقال انرژی بالا و اثر ضربهای قابل توجه همخوانی دارد.
ارزیابی پزشک:
در ارزیابی پزشکی، چنین الگویی ذاتا با ریسک بالای مرگ یا ناتوانی شدید پایدار همراه دانسته شده است، زیرا اسلاگ بهدلیل جرم و سرعت، میتواند تخریب گسترده در مسیر خود ایجاد کند و در صورت درگیری اندامهای حیاتی، پیامدهای فاجعهبار بهجا بگذارد. ماهیت متمرکز و نافذ این نوع آسیب، آن را از الگوی پراکندگی چندکانونی ساچمهای متمایز میکند و از نظر بالینی با سطح بالاتری از تهدید حیات یا ازکارافتادگی طولانیمدت سازگار است.
در ۱۰ کیس، یافتههای تصویری با الگوی سازگار با اصابت گلولههای کالیبر ۳۹×۷٫۶۲ میلیمتری توصیف شده است؛ مهماتی که معمولا با سلاحهای خانواده تفنگهای تهاجمی کلاشنیکف شلیک میشوند. در این موارد، تصاویر وجود یک پرتابه فلزی بزرگتر، گاه تغییر شکل یافته، را نشان میدهند که با نفوذ عمیق و تخریب گسترده استخوان و بافت نرم همراه بوده است. در چند پرونده، گلوله پس از برخورد با استخوان دچار تغییر شکل شده و در بدن باقی مانده است، بدون آنکه مسیر خروجی مشخصی دیده شود؛ الگویی که با مهمات تمامفلزی پرسرعت همخوانی دارد.
ویژگیهای تکرارشونده در ارزیابی پزشک:
از نظر الگوی آسیب، شکستگیهای خردشونده در استخوانهای ران، لگن و بازو بهطور تکرارشونده مشاهده شدهاند. در چند مورد، آسیب قفسه سینه با پنوموتوراکس (هواجنبی) و نیاز به مداخله اورژانسی همراه بوده است. در یک پرونده، گلوله در ناحیه گردن دیده شده و با جابجایی نای و نشانههای تورم و خونریزی سازگار بوده است؛ وضعیتی که پزشک آن را با احتمال آسیب به عروق بزرگ و خطر سکته یا مرگ مرتبط دانسته است. در یک مورد دیگر، درگیری مغزی با ریسک بسیار بالای مرگ توصیف شده است. همچنین در چند مورد، احتمال آسیب به شریان فمورال (سرخرنگ رانی) و خطر خونریزی تهدیدکننده حیات مطرح شده است.
در مجموع، موارد منتسب به گلولههای ۷٫۶۲×۳۹ میلیمتری از نظر شدت تخریب بافتی و استخوانی، بیشترین پتانسیل مرگآوری را در این مجموعه نشان میدهند. انرژی بالاتر و مسیر نفوذ متمرکز این مهمات، در صورت درگیری اندامهای حیاتی یا عروق بزرگ، با خطر مرگ سریع یا ناتوانی شدید پایدار همراه بوده است.
در سه مورد، یافتههای تصویری با الگوی آسیب ناشی از پرتابههای پرسرعت سازگار بودهاند، اما بهدلیل محدودیتهای ذاتی تصویر و نبود دادههای تکمیلی، امکان انتساب قطعی به یک کالیبر مشخص فراهم نشده است. در این موارد، تصاویر نشاندهنده شکستگیهای شدید و چندتکه استخوان، تخریب گسترده بافت نرم و حضور پرتابه یا قطعات فلزی با ویژگیهای سازگار با مهمات پرانرژی بودهاند؛ با این حال، پزشک بهصراحت تأکید کرده که تعیین دقیق نوع یا کالیبر سلاح تنها بر پایه این تصاویر ممکن نیست.
ارزیابیهای پزشک:
در این پروندهها، اگرچه آسیبها میتواند با شلیک سلاح گرم همخوانی داشته باشد، اما نبود ویژگیهای شاخص کافی مانند اندازه مشخص پرتابه، الگوی پراکندگی یا تغییر شکل قابل تحلیل، مانع از طبقهبندی دقیق گلوله شده است. این احتیاط در انتساب، بازتابی از رویکرد محافظهکارانه در ارزیابی پزشکی است که از تعمیم فراتر از شواهد تصویری خودداری میکند.
در پنج مورد نیز نوع مهمات بهطور قطعی قابل شناسایی نبوده و در جدول دادهها بهصورت Unknown، خالی یا با علامت خط تیره ثبت شده است.
شاتگان یا تفنگ ساچمهای نوعی سلاح گرم است که معمولا با مهمات ساچمهای (Birdshot) یا گلولههای یکتکه (Slug) شلیک میکند و اساسا برای درگیری در فواصل نزدیک، معمولا تا حدود ۳۰ تا ۵۰ متر، طراحی شده است. ویژگی اصلی این سلاح، ترکیب پراکندگی پرتابهها و انتقال بالای انرژی در فاصله کوتاه است؛ خصوصیتی که آن را در شکار، دفاع نزدیک و عملیات کنترل جمعیت به ابزاری موثر و در عین حال بالقوه بسیار آسیبزا تبدیل میکند.
شاتگانها طی سالهای اخیر به یکی از ابزارهای اصلی نیروهای سرکوب جمهوری اسلامی برای مقابله با تجمعات اعتراضی بدل شدهاند. هم در جریان جنبش سراسری ۱۴۰۱ و هم در اعتراضات کنونی، طیف متنوعی از شاتگانها از سوی نیروهای فراجا، بسیج و سپاه پاسداران مورد استفاده قرار گرفته است.
بر اساس اطلاعات در دسترس، بخش قابل توجهی از شاتگانهای مورد استفاده از محصولات شرکت ترکیهای Hatsan بودهاند؛ سلاحهایی که نمونههای آنها در ایران نیز در صنایع اسلحهسازی وابسته به وزارت دفاع، از جمله صنایع «شهید کاوه خراسان»، با نامهای بومی مانند «ماهر»، «یوز» و «صیاد ۲» تولید یا مونتاژ شدهاند.
از جمله مدلهایی که بهطور مکرر در اختیار نیروهای سرکوب مشاهده شدهاند میتوان به شاتگان پامپ-اکشن Karatay 612 HD ساخت Akkar و شاتگانهای پامپ-اکشن سری Escort Aimguard (از جمله مدل Escort Aimguard TS) ساخت Hatsan اشاره کرد؛ مدلهایی که برخی از آنها بهطور مشخص برای استفاده نیروهای انتظامی و امنیتی طراحی و بازاریابی شدهاند. با این حال، شواهد نشان میدهد که استاندارد واحد و یکنواختی در نوع شاتگانهای مورد استفاده وجود ندارد و احتمال حضور محدود برخی مدلهای اروپایی یا آمریکایی نیز منتفی نیست؛ هرچند غالب موارد مستند شده به طراحیهای ترکیهای یا نمونههای کپی داخلی آنها مربوط میشود.

کپشن عکس: نیروی یگان امنیتی سپاه پاسداران انقلاب اسلامی مسلح به شاتگان Escort Aimguard TS و یک قبضه اسلحه کمری نیمهخودکار ۹ میلیمتری بر اساس الگوی CZ.52 در جریان اعتراضات سراسری اخیر.(منبع)
از نظر نوع مهمات، بررسی تصاویر پزشکی و شواهد گلولهشناسی نشان میدهد که نیروهای سرکوب از انواع مختلف فشنگهای شاتگان برای شلیک به سوی معترضان استفاده کردهاند. در میان موارد بررسیشده، مهمات Birdshot بیشترین فراوانی را دارند؛ مهماتی که بهدلیل تعداد بالای ساچمهها، بهویژه در فاصلههای کوتاه، میتوانند منجر به آسیب گسترده بافت نرم، جراحات چندنقطهای و در برخی موارد صدمات شدید به سر، صورت و چشم شوند. در کنار این موارد، دستکم یک نمونه استفاده از مهمات Slug نیز در تصاویر پزشکی شناسایی شده است؛ مهماتی که بهصورت یک پرتابه واحد شلیک میشوند و الگوی آسیب آنها با نفوذ متمرکز و تخریب شدیدتر سازگار است.
عمده این مهمات، بنا بر اطلاعات موجود، در شرکتها و کارخانههای وابسته به گروه صنایع مهمات و متالورژی(مهام) وزارت دفاع تولید میشوند؛ از جمله میتوان به کارخانه مهماتسازی شهید شیرودی اشاره کرد. در عین حال، گزارشهایی نیز از استفاده از مهمات وارداتی وجود دارد که بهاحتمال زیاد تحت عنوان کاربری ورزشی یا شکار به کشور وارد شدهاند.

تصویر منتشر شده در شبکه های اجتماعی از پوکه فشنگ گیج ۱۲ شات گان تولید شده در گروه صنایع مهمات و متالورژی (مهام) وزارت دفاع جمهوری اسلامی که در جریان اعتراضات سراسر اخیر در شهر شیراز استفاده شده است.
اهمیت شاتگانها در سرکوب اعتراضات، نه صرفا در نوع سلاح، بلکه در ماهیت مهمات و الگوی بهکارگیری آنها نهفته است. ترکیب پراکندگی ساچمه، امکان شلیک در فاصله نزدیک، و ایجاد آسیبهای چندنقطهای، این سلاحها را به ابزاری موثر برای ایجاد جراحت گسترده، ایجاد ناتوانی و در برخی موارد آسیبهای جبرانناپذیر بدل کرده است؛ موضوعی که بازتاب آن بهوضوح در دادههای پزشکی و تصاویر مورد بررسی در این گزارش قابل مشاهده است.
تحلیل تصاویر پزشکی در بخشی از موردهای بررسیشده نشاندهنده آسیبهایی است که با اصابت گلولههای پرسرعت جنگی همخوانی دارد. این موارد شامل نفوذ عمیق پرتابه، تغییر شکل قابلتوجه گلوله پس از برخورد با استخوان، خردشدگی شدید ساختارهای استخوانی و در برخی موارد توقف پرتابه در بدن بدون خروج است. چنین الگوهایی، در چارچوب دادههای موجود، با استفاده از تفنگهای تهاجمی الگوی کلاشنیکف و مهمات کالیبر۳۹×۷/۶۲ میلیمتر سازگار است.
بر این اساس، در این گزارش، نوع سلاح محتمل در این موارد با عنوان زیر ثبت شده است:AK-47 / AKM / Type-56 / KL / AK-103 / KL-133
تفنگهای تهاجمی مبتنی بر الگوی کلاشنیکف با کالیبر ۳۹×۷/۶۲میلیمتری برای دههها سلاح سازمانی و استاندارد بخش بزرگی از نیروهای مسلح جمهوری اسلامی (سپاه پاسداران انقلاب اسلامی و پلیس - فراجا) بودهاند. بخش عمده این سلاحها را نسخههای چینی Type 56 تشکیل میدهد که بهصورت بومی و تحت عنوان KL-7.62 تولید شدهاند. این تفنگها در پیکربندیهای مختلفی از جمله قنداق ثابت، قنداق فلزی تاشونده، و نمونههای لولهکوتاه تولید و بهکار گرفته شدهاند.
نمونه لولهکوتاه این خانواده، که برای عملیات در فواصل نزدیک و محیطهای شهری مناسبتر است، در اختیار برخی از یگانهای سرکوب از جمله یگانهای وابسته به بسیج و نیروهای موسوم به «فاتحین» قرار گرفته است. علاوه بر این، نمونههای اصلی AK-47 و AKM ساخت شوروی سابق، همچنین نسخههایی ساخت رومانی و آلمان شرقی سابق نیز در موجودی نیروهای مسلح جمهوری اسلامی دیده میشوند؛ هرچند از نظر تعداد، خانواده Type 56 / KL-7.62 همچنان غالب است.
در سالهای اخیر، مدلهای جدیدتری از خانواده کلاشنیکف نیز در اختیار نیروهای سرکوب مشاهده شدهاند؛ از جمله AK-103 و AK-133/KL-133. مدل AK-133/KL-133 در عمل نسخهای مدرنشده از Type 56 / KL-7.62 محسوب میشود که با استفاده از اجزای پلیمری و فشارشکن دهانه مشابه AK-103 بهروزرسانی شده است.

نیروهای یگان امنیت سپاه پاسداران (IASF) مسلح به شاتگانهای Escort Aimguard TS و تفنگهای تهاجمی KLF 7.62 (کپی تفنگ چینی Type56-1) در جریان اعترضات سراسری اخیر.
این تحقیق با تکیه بر تحلیل نظاممند تصاویر رادیولوژی، تلاش کرده است بدون اتکا به شهادتهای شفاهی یا روایتهای سیاسی، الگوی بهکارگیری سلاح گرم علیه معترضان در دی ۱۴۰۴ را مستند کند. مجموعه داده شامل ۵۹ مورد معتبر بود که پس از راستیآزمایی دقیق زمانی، آناتومیک و فنی انتخاب شدند و امکان بررسی الگوهای تکرارشونده جراحت را فراهم کردند.
یافتهها نشان میدهد که شاتگانها، بهویژه با مهمات بردشات گیج ۱۲، بیشترین سهم را در جراحات ثبتشده داشتهاند و در کنار آن، موارد مشخصی از اصابت گلولههای جنگی کالیبر ۳۹×۷/۶۲میلیمتری نیز دیده میشود.
توزیع آناتومیک جراحات، تمرکز بالایی بر سر، صورت و اندامها را نشان میدهد و در برخی موارد، نشانههایی سازگار با شلیک از فاصله نزدیک مشاهده شده است. تصاویر پزشکی همچنین امکان تمایز نسبی میان انواع مهمات و شدت نیروی وارده را فراهم میکنند؛ هرچند تعیین قطعی فاصله شلیک خارج از دامنه این دادههاست.